Dla dzieci i młodzieży w wieku od 5 do 18 lat pantomogram jest dostępny bezpłatnie w uzasadnionych medycznie przypadkach, takich jak podejrzenie nieprawidłowości rozwojowych zębów. Warto jednak pamiętać, że mimo wprowadzenia nowych przepisów, dostępność usług może być ograniczona przez długie kolejki i brak nowoczesnych materiałów w placówkach NFZ.
Kluczowe informacje:- Od 2025 roku pantomogram jest na NFZ dla dorosłych pacjentów leczonych endodontycznie lub protetycznie.
- Badanie można wykonać raz na pięć lat z odpowiednim skierowaniem.
- Dla dzieci i młodzieży pantomogram jest dostępny bezpłatnie w uzasadnionych przypadkach co trzy lata.
- Wymagane jest skierowanie od dentysty z odpowiednią specjalizacją.
- Dostępność usług może być ograniczona przez długie kolejki w placówkach NFZ.
Jak uzyskać pantomogram na NFZ i uniknąć kosztów
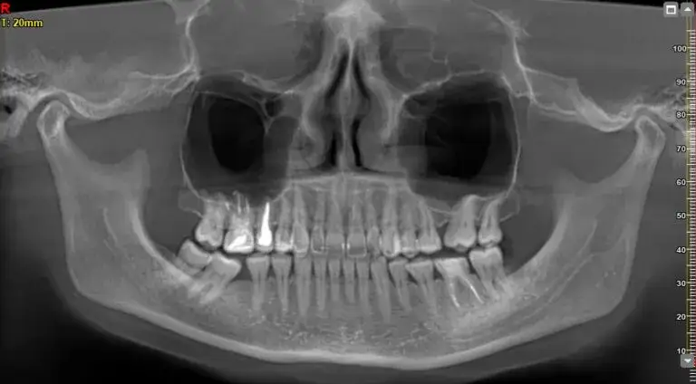
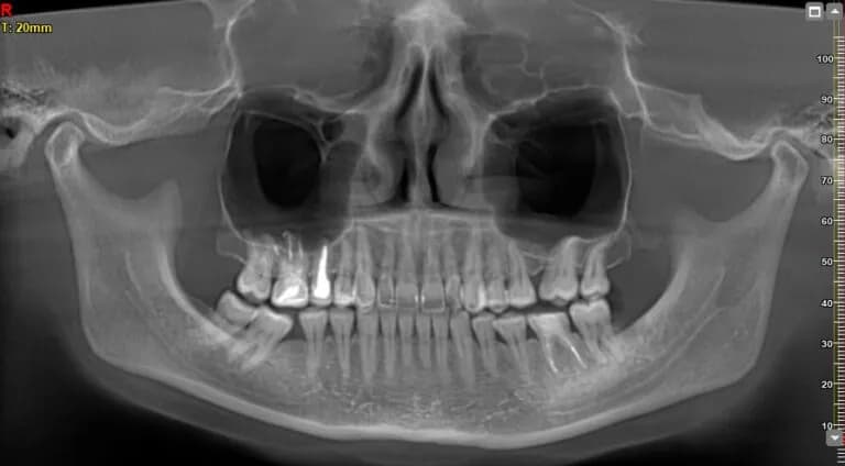
Uzyskanie pantomogramu na NFZ jest prostym procesem, ale wymaga spełnienia pewnych warunków. Po pierwsze, aby zrealizować to badanie, potrzebne jest skierowanie od dentysty z odpowiednią specjalizacją. Pantomogram jest dostępny dla dorosłych pacjentów, którzy są leczeni endodontycznie lub protetycznie. Warto pamiętać, że badanie to można wykonać raz na pięć lat, co oznacza, że jest to usługa, która może pomóc w długoterminowej diagnostyce.
Aby uniknąć dodatkowych kosztów, kluczowe jest, aby skierowanie było odpowiednio sformułowane. Upewnij się, że dentysta, który wystawia skierowanie, ma aktualne uprawnienia i specjalizację. W przeciwnym razie, możesz napotkać trudności w uzyskaniu refundacji. Jeśli masz pytania dotyczące procesu, warto skonsultować się z placówką NFZ, aby uzyskać szczegółowe informacje na temat wymaganych dokumentów i procedur.
Wymagania dotyczące skierowania na pantomogram w NFZ
Aby uzyskać pantomogram w ramach NFZ, niezbędne jest skierowanie od lekarza dentysty, który posiada odpowiednie kwalifikacje. Dentysta musi być specjalistą w dziedzinie stomatologii lub być w trakcie szkolenia specjalizacyjnego. Skierowanie powinno zawierać dokładne informacje dotyczące pacjenta oraz uzasadnienie, dlaczego badanie jest konieczne. Tylko wtedy pacjent może liczyć na pełną refundację kosztów badania.
Kto może skorzystać z pantomogramu bezpłatnie?
Bez względu na wiek, pantomogram na NFZ jest dostępny dla pacjentów, którzy spełniają określone kryteria. Dorośli mogą skorzystać z tego badania, jeśli są w trakcie leczenia endodontycznego lub protetycznego. W takim przypadku, wystarczy skierowanie od dentysty, aby uzyskać dostęp do tego świadczenia. To ważne, aby pacjenci byli świadomi, że pantomogram jest refundowany tylko w ramach określonych procedur medycznych.Dla dzieci i młodzieży w wieku od 5 do 18 lat, pantomogram w ramach NFZ jest dostępny bezpłatnie w uzasadnionych medycznie przypadkach. Obejmuje to sytuacje, takie jak podejrzenie nieprawidłowości rozwojowych zębów lub diagnostyka zmian chorobowych w kościach szczęki i żuchwy. W takich przypadkach, dzieci mogą korzystać z pantomogramu co trzy lata, co stanowi istotną pomoc w diagnostyce i leczeniu.
Częstotliwość i zasady wykonania pantomogramu na NFZ
W przypadku dorosłych pacjentów, pantomogram można wykonać raz na pięć lat, co jest istotne dla zachowania zdrowia jamy ustnej. Dzieci mogą natomiast korzystać z tego badania co trzy lata, o ile istnieją medyczne wskazania. To różnicowanie częstotliwości badań jest dostosowane do potrzeb różnych grup wiekowych i ich specyficznych wymagań zdrowotnych.
Ważne jest, aby pacjenci byli świadomi, że aby skorzystać z pantomogramu, muszą mieć aktualne skierowanie od dentysty. W przypadku dorosłych, skierowanie powinno być wystawione w kontekście leczenia endodontycznego lub protetycznego, podczas gdy dzieci potrzebują skierowania w przypadkach medycznych uzasadniających wykonanie badania.
Jak często można wykonywać pantomogram na NFZ?
Pacjenci powinni być świadomi, że pantomogram na NFZ można wykonywać w różnych interwałach czasowych w zależności od grupy wiekowej. Dorośli pacjenci mają prawo do wykonania pantomogramu raz na pięć lat, co jest istotne dla monitorowania ich zdrowia jamy ustnej. Dzieci i młodzież w wieku od 5 do 18 lat mogą korzystać z tego badania co trzy lata, ale tylko w uzasadnionych medycznie przypadkach. Takie różnice w częstotliwości badań są dostosowane do potrzeb zdrowotnych różnych grup wiekowych.
Okoliczności, które uprawniają do bezpłatnego badania u dzieci
Dzieci mogą uzyskać bezpłatny pantomogram w ramach NFZ w określonych sytuacjach medycznych. Należą do nich przypadki podejrzenia nieprawidłowości rozwojowych zębów, zmiany chorobowe w kościach szczęki i żuchwy, zapalenie przyzębia oraz diagnostyka ognisk infekcji zębo- i niezębopochodnych. W takich przypadkach, pantomogram jest kluczowym narzędziem diagnostycznym, które może pomóc w wczesnym wykrywaniu problemów zdrowotnych. Ważne jest, aby rodzice byli świadomi tych okoliczności, aby mogli skorzystać z przysługujących im praw.- Podejrzenie nieprawidłowości rozwojowych zębów (np. zęby niewłaściwie rosnące)
- Zmiany chorobowe w kościach szczęki i żuchwy (np. torbiele lub guzy)
- Zapalenie przyzębia (stan zapalny tkanek otaczających zęby)
- Diagnostyka ognisk infekcji zębo- i niezębopochodnych (np. infekcje bakteryjne)

Problemy z dostępnością pantomogramu w NFZ
Pacjenci często napotykają na trudności w dostępie do pantomogramu na NFZ, co może być frustrujące. Jednym z głównych problemów są długie kolejki, które mogą znacznie wydłużyć czas oczekiwania na badanie. W wielu placówkach NFZ pacjenci muszą czekać tygodniami, a nawet miesiącami, co wpływa na ich zdrowie i samopoczucie. Dodatkowo, niektóre placówki mogą mieć ograniczoną dostępność nowoczesnych sprzętów, co również utrudnia wykonanie badania w odpowiednim czasie.
Inny problem to niewystarczająca liczba specjalistów, którzy mogą wykonywać pantomogramy. W rezultacie, pacjenci często muszą korzystać z usług prywatnych, co wiąże się z dodatkowymi kosztami. Warto również zauważyć, że w niektórych regionach Polski dostępność usług stomatologicznych w ramach NFZ jest znacznie ograniczona, co sprawia, że pacjenci są zmuszeni do podróżowania do innych miejscowości w poszukiwaniu odpowiedniej opieki. Te czynniki sprawiają, że dostępność pantomogramów w ramach NFZ staje się poważnym wyzwaniem dla wielu osób.
Jakie są długie kolejki na pantomogram w placówkach NFZ?
Obecnie, czas oczekiwania na pantomogram w placówkach NFZ może wynosić od kilku tygodni do kilku miesięcy, w zależności od lokalizacji i obciążenia placówki. W większych miastach, takich jak Warszawa czy Kraków, kolejki mogą być szczególnie długie, często przekraczające 2-3 miesiące. Aby zminimalizować czas oczekiwania, pacjenci powinni rozważyć rejestrację w mniejszych, mniej obleganych placówkach, które mogą oferować szybsze terminy. Ponadto, warto regularnie sprawdzać dostępność miejsc i dzwonić do placówek w celu uzyskania informacji o ewentualnych wolnych terminach.
Jak przygotować się do pantomogramu i poprawić jego jakość
Aby uzyskać jak najlepsze wyniki z pantomogramu na NFZ, warto odpowiednio się do niego przygotować. Przed badaniem zaleca się unikanie spożywania pokarmów oraz napojów, które mogą pozostawiać resztki na zębach, takie jak kawa czy sok. Czystość jamy ustnej może znacząco wpłynąć na jakość zdjęcia, co z kolei umożliwia dokładniejszą diagnostykę. Dobrze jest również poinformować dentystę o wszelkich istniejących problemach zdrowotnych, które mogą wpłynąć na interpretację wyników.
Warto również śledzić nowinki technologiczne w dziedzinie diagnostyki stomatologicznej. W miarę jak technologia się rozwija, nowe metody obrazowania, takie jak tomografia komputerowa (CT), mogą stać się bardziej dostępne w ramach NFZ. Te zaawansowane techniki mogą oferować dokładniejsze i bardziej szczegółowe obrazy, co może znacząco poprawić proces diagnostyczny. Biorąc pod uwagę rozwój technologii, pacjenci powinni być na bieżąco z nowymi możliwościami, które mogą wpłynąć na ich zdrowie jamy ustnej.
